

Laser Genesis by Cutera
£450
£382.50
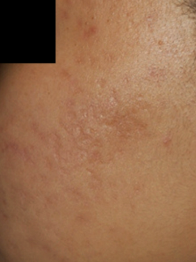
Laser Genesis by Cutera is a safe, non-invasive YAG laser treatment designed to refresh and rejuvenate your skin from within. By delivering gentle micro-pulses of laser energy into the dermis, Laser Genesis stimulates collagen and elastin production, helping to smooth fine lines, refine pores, reduce redness, fade acne scars, and restore a radiant, even complexion.
With no downtime and a comfortable, relaxing treatment experience, Laser Genesis is often referred to as the ultimate “lunch-time facial.” It is suitable for all skin types, ages, and ethnicities, this advanced treatment provides natural-looking results and promotes long-term skin health.
Learn more
Treatment
Key Benefits
Real Results
Booking and Payment
This treatment is available as a single session or as part of a course for optimal results. We offer flexible payment options, including Klarna and Clearpay (pay in 3 installments). All bookings are valid for 12 months from the date of purchase.


How Many Sessions will I need?
While visible improvements can often be noticed after just one session, results are cumulative for best results we recommend a course of 3-6 treatments, spaced 2-4 weeks apart. Many clients choose ongoing sessions every 6-12 months to maintain results and keep their skin glowing.
How long do the results last?
Procedure Time
Aftercare Advice
Disclaimer
You may also like...